Benutzer-Werkzeuge

Webseiten-Werkzeuge


Seitenleiste

Start

Hauptmenü

Behandlungen von Patienten mit besonderen Status

Termine

Arbeitsabläufe

Anmeldung

PC am Arbeitsplatz

Dampsoft

Behandlungsstühle

Abläufe und Platzvorbereitung

Spezial Werkzeuge

Röntgenzimmer

Der Aufbereitungsraum (Steri)

Keller

Krebspatienten

Statusfotografie

MKV Behandlungen

Allgemeine Problembehebungen

schienen_fuer_kfo_forestadent

Unsichtbare KFO Schienen mit Forestadent

FORESTADENT ist ein Dienstleister für unsichtbare Korrekturschienen. Im Gegensatz zu den durch Funk- und Fernsehen bekannt gewordenen Anbietern ist FORESTADENT ein seriöser Dienstleister mit einer gründlichen Eingangsuntersuchung des jeweiligen Patienten durch Fachzahnärzte.

Um dies zu gewährleisten, werden folgende Daten bei uns erhoben:

  • Aktuelles (nicht älter als 3 Monate!) Panoramaröntgenbild
  • Kompletter Kieferscan OK und UK
  • Intraoralfotos Kiefer links, rechts, frontal, Oberkiefer, Unterkiefer
  • Patientenfotos Frontal ohne Lächeln, Leicht seitlich ohne Lächeln, seitlich ohne Lächeln Frontal mit Lächeln
  • Detaillierter aktueller Zahnbefund

Diese werden dann in das FORESTADENT Online Portal hochgeladen (erledigt Dr. Ulrich):

https://www.forestadent-portal.com/portal/#/orders-accusmile/d7437601-2e53-4c87-9564-effe67cf2010

Zimmervorbereitung für den Termin (ausschließlich Zimmer 3!):

Instrumentarium:

  • Intraoralfotospiegel
  • Wangenhalter schwarz
  • Sony Kamera
  • Macro Objektiv Sony
  • Portrait Objektiv Sony

Die Photolichter und der Portraitstuhl in Photoposition bringen und Blitze anschalten!


Abzuarbeitende Arbeitsliste:

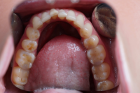
Intraorale Fotos:

Kiefer frontal:


Kiefer links:


Kiefer rechts:


Kiefer frontal:


Oberkiefer:


Unterkiefer:


Patienten Fotos:

Frontal ohne Lächeln:


Leicht seitlich ohne Lächeln:


Seitlich ohne Lächeln:


Frontal mit Lächeln:


schienen_fuer_kfo_forestadent.txt · Zuletzt geändert: von tom